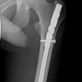
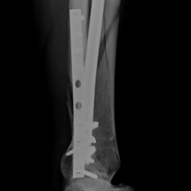
Unfallchirurgie

Die Unfallchirurgie umfasst die Vorbeugung, Erkennung, operative und nichtoperative Behandlungen von Verletzungen und deren Folgezuständen, einschließlich der Nachsorge und Rehabilitation.

Die Aufgabengebiete der Unfallchirurgie umfassen die Unfallvermeidung, Unfallrettung, Verletzungsdiagnostik, operative und konservative Behandlung aller Verletzungen und deren Folgen in allen Altersstufen. Sie umfasst ebenso die Durchführung von wiederherstellenden, korrigierenden und plastischen Eingriffen.

Sie schließt die Behandlung von Erkrankungen des Skelettsystems und der Weichteile ein.

Ein weiterer Aspekt liegt in der Nachsorge und Rehabilitation von Verletzungen und die Begutachtung von Verletzungsfolgen.

Erkrankungen von A - Z

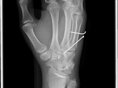
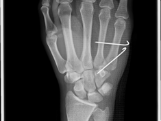
    • Bandverletzungen des Handgelenkes und der Handwurzel
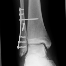
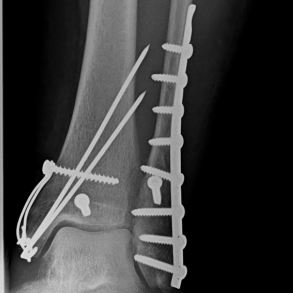
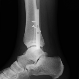
    • Bandverletzungen des oberen und unteren Sprunggelenkes
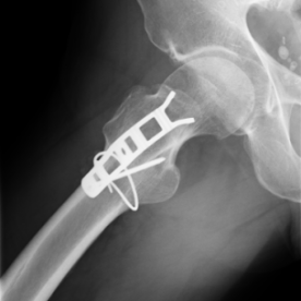
    • Beckenverletzungen
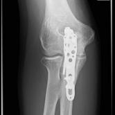
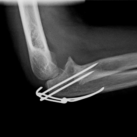
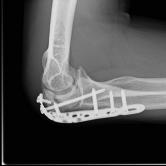
    • Ellenbogengelenksverletzungen
    • Kniegelenksverletzungen
    • Kniescheibenbrüche und -ausrenkungen
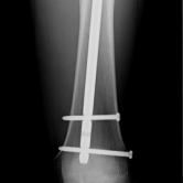
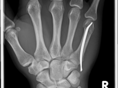
    • Knochenbrüche der oberen und unteren Extremitäten
    • Knorpelverletzungen
    • Kreuzbandrisse
    • Luxation
    • Meniskusrisse
    • Muskelverletzungen
    • Pseudarthrosen (Nichtverheilen von Knochenbrüchen)
    • Rippenbrüche
    • Schlüsselbeinbrüche
    • Schultereckgelenksverletzungen/-sprengungen
    • Sehnenverletzungen (insbesondere Schultergelenk und der Hand)
    • Seitenbandrisse
    • Unfallbedingte Kniegelenksarthrose
    • Verletzungen der Brust- und Lendenwirbelsäule (Wirbelbrüche)
    • Verstauchung der Halswirbelsäule
    • Wundversorgungen aller Art

Krankheitsbilder

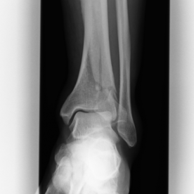
1) Bandverletzungen des oberen Sprunggelenkes
Bandverletzungen des oberen Sprunggelenkes sind sehr häufig und werden durch ein Wegknicken im oberen Sprunggelenk nach außen oder innen hervorgerufen. Es handelt sich jeweils um eine Verletzung des inneren oder äußeren Kapselbandapparat. Die verschiedenen Außenbänder verstärken den Kapselbandapparat auf der Außenseite und das Innenband verstärkt den inneren Kapselbandapparat über mehrere Zügel in verschieden Richtungen. Es können Bänderdehnungen von Teilrissen und kompletten Rissen unterschieden werden. Bei relevanten Verletzungen kommt es zu einer vorübergehenden Instabilität des oberen Sprunggelenkes außen- oder innenseitig.Die Bandverletzung im Bereich des oberen Sprunggelenkes ist seit vielen Jahren eine Domäne der konservativen Behandlung, es sollte für 4-6 Wochen eine Sprunggelenksorthese zum Schutz des äußeren, bzw. inneren Kapselbandapparates getragen werden, danach ist mit einer Ausheilung der Bandverletzung zu einem ganz hohem Prozentsatz zu rechnen. Nur bei ausbleibender Stabilität und immer wieder kehrenden Instabilitätsattacken wäre ein operatives Vorgehen in Form einer Bandplastik notwendig.

2) Bandverletzungen des Daumengrundgelenkes
Im Bereich des Daumengrundgelenkes gibt es eine ellenseitige und speichenseitige Verstärkung der Gelenkkapsel. Die speichenseitigen Zerreißungen des Bandapparates sind selten und können meist konservativ behandelt werden. Die ellenseitige Zerreißung des Kapselbandapparates muss häufig operativ behandelt werden, da hier wegen eines Umschlagens der Bandenden die konservative Therapie zu keinem guten Ergebnis führt und die ellenseitige Belastung des Daumengrundgelenkes deutlicher höher ist als die speichenseitige. Hier wird im Rahmen einer operativen Revision die Naht des ellenseitigen Bandes durchgeführt, anschließend erfolgt eine Ruhigstellung in entsprechender Schiene bis zur Ausheilung des Bandes. Diese operative Behandlung wird auch in unserer Praxis routinemäßig durchgeführt.

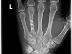
3) Beugesehnenverletzungen der Finger
Im Bereich der Finger wird eine oberflächlich Beugesehne, welche zum Mittelglied des Fingers zieht und tiefe Beugesehne, welche zum Endglied des jeweiligen Fingers zieht, unterschieden. Beide Beugesehnen können im Rahmen von offenen Verletzungen reißen oder durchtrennt werden. Danach ist eine aktive Beugung im entsprechenden Gelenk nicht mehr möglich. Deshalb muss in diesen Fällen immer eine offene Beugesehnennaht durchgeführt werden. Dabei werden durch eine spezielle Nahttechnik die beiden Sehnenenden wieder miteinander fixiert. Danach muss eine aufwendige Gipsbehandlung über ca. 6 Wochen (Gipsbehandlung nach Kleinert) erfolgen in Beugestellung des Handgelenks und der Langfinger. Auch dieses operative Vorgehend samt der aufwendigen Nachbehandlung wird in unserer Praxis durchgeführt.

4) Strecksehnenverletzungen der Hand
Die Strecksehnen im Bereich der Hand werden über viele Zügel und Querverbindungen gesichert, somit sind Strecksehnenverletzungen deutlich weniger problematischer als Beugesehnenverletzungen. Im Streckerbereich ist häufig, trotz Verletzung der Sehnenstruktur, noch eine aktive Streckung über Seitzügel möglich. Bei sicherer Durchtrennung eines Teils des Streckapparates wird häufig eine direkte Naht durchgeführt, die Nachbehandlung ist weniger aufwendig und kürzer als im Bereich der Beugesehnen.Strecksehnenverletzungen in Höhe des Endgelenkes sind relativ häufig, auch im Rahmen von spontanen Rissen durch forcierte kraftvolle Beugung im Endgelenk möglich. Hier kann meist eine konservative Behandlung mit Ruhigstellung in einer speziellen Plastikschiene erfolgen. Diese Plastikschiene (Stack'sche Schiene) muss dann über 6-8 Wochen konsequent getragen werden, damit der Strecksehnenansatz in Höhe des Endgelenkes vernarben kann.

5) Beschleunigungsverletzung der Halswirbelsäule
Darunter werden die Verletzungen in erster Linie im Rahmen von Verkehrsunfällen zusammengefasst, die zu einer Krafteinwirkung auf die Halswirbelsäule durch den Unfallmechanismus führen. Durch einen unerwarteten Aufprall kommt es zu einer Beschleunigungsverletzung im Bereich der Halswirbelsäule durch die Verzögerung des Körpers in Relation zum Kopf und damit zum Energietransfer auf diesen Wirbelsäulenabschnitt. Es können verschiedene Schweregrade unterschieden werden. Es kommt nach unterschiedlich langem Intervall zu einer Muskelverspannung mit ausstrahlenden Schmerzen kopf- oder fußwärts. In vielen Fällen kommt es auch zu einer Bewegungseinschränkung im Bereich der Halswirbelsäule mit Schonhaltung. Bei ausgeprägten und schweren Beschleunigungsverletzungen kann es auch zu neurologischen Ausfällen und strukturellen Schäden im Bereich der Halswirbelsäule kommen.Liegen keine Verletzungen knöcherner Art oder der Kapselbandstrukturen der Halswirbelsäule vor, erfolgt eine konservative Behandlung mittels Wärmeanwendungen und Schmerzmittel. Höhergradige Knochenbrüche im Bereich der Halswirbelsäule oder Bandverletzungen müssen ggf. operativ versorgt werden.

6) Meniskusverletzungen
Bei den Menisken handelt es sich um halbmondförmige knorpelartige Scheiben, die sich zwischen Oberschenkelknochen und Unterschenkelknochen im Kniegelenk befinden. Es gibt einen Außenmeniskus und einen Innenmeniskus. Am häufigsten bei Verletzungen ist der Innenmeniskus im hinteren Anteil betroffen. Die Schädigungen der Menisken (Risse) kann sowohl verschleißbedingt (am Häufigsten) als auch durch Verletzungen hervorgerufen werden. Man unterscheidet Längsrisse, Lappenrisse, Horizontalrisse und Korbhenkelrisse. Basisnah liegt eine gute Durchblutung des Meniskus vor, hier können ggf. Risse bei jüngeren Patienten refixiert und genäht werden. Bei verschleißbedingten Rissen und basisfernen Rissen ist eine Refixation nicht möglich, hier erfolgt die Teilentfernung des Meniskus. Beide operative Verfahren werden routinemäßig in unserer Praxis im Rahmen einer Arthroskopie des Kniegelenkes durchgeführt. » sehen Sie mehr

7) Seitenbandverletzungen des Kniegelenkes
Im Bereich des Kniegelenkes gibt es ein inneres und ein äußeres Seitenband, das innere Seitenband entspringt am inneren Oberschenkelknochen und zieht zum inneren Schienbeinkopf und das Außenband entspringt am äußeren Oberschenkelknochen und zieht zum Wadenbeinköpfchen. Es handelt sich um Verstärkungen des inneren und äußeren Kapselbandapparates sowie der Unterschenkelfaszien innen und außen. Ursache für eine Verletzung der Seitenbänder ist fast immer einer direkte Krafteinwirkung auf das Kniegelenk. Es wird zwischen Banddehnungen, Teilrissen und vollständigen Bandrissen unterschieden. Fast immer erfolgt eine konservative Behandlung der Innen- oder Außenbandrisse am Kniegelenk. Die operative Behandlung ist im Wesentlichen Kombinationsverletzungen mit daraus resultierender ausgeprägter kombinierter Instabilität vorbehalten.

8) Vorderer und hinterer Kreuzbandriss des Kniegelenkes
Das vordere Kreuzband ist eine Bandstruktur, die frei durch das Kniegelenk zieht, vom vorderen inneren Schienbeinkopf zum hinteren äußeren Oberschenkelknochen. Der Riss des vorderen Kreuzbandes ist eine häufige Bandverletzung des Kniegelenkes und wird am häufigsten im Rahmen einer sportlicher Betätigung (Verdrehtrauma) erlitten. Der Patient verspürt häufig einen Riss oder Knall, in der Regel kommt es zu einer deutlichen Ergussbildung im Bereich des Kniegelenkes mit Einblutung. In vielen Fällen tritt im Anschluss daran, insbesondere bei jüngeren Patienten, eine Instabilität des Kniegelenkes auf. Dies ist auch der Grund weshalb in vielen Fällen eine operative Behandlung mit vorderer Kreuzbandersatzplastik durchgeführt wird. Dabei wird eine Sehne aus den inneren Weichteilen des Kniegelenkes und Oberschenkels entnommen und als Transplant durch das Kniegelenk gezogen und das Transplantat an Oberschenkel- und Unterschenkelknochen meist mit Schrauben fixiert.Die Verletzung des hinteren Kreuzbandes ist deutlich seltener. Das hintere Kreuzband ist auch eine frei durch das Kniegelenk ziehende Bandstruktur, die vom hinteren Schienbeinkopf schräg nach vorne oben an den Oberschenkelknochen innenseitig führt. Auch im Rahmen des Risses des hinteren Kreuzbandes kommt es zur Ausbildung eines deutlichen Gelenkergusses mit Einblutung. Führt der Riss des hinteren Kreuzbandes zu einer s.g. hinteren Instabilität des Kniegelenkes ist auch hier die operative Versorgung mittels hinterer Kreuzbandersatzplastik (ebenfalls mit Sehnentransplantat) zu empfehlen. Aufgrund des breiteren Bandes ist diese aufwendiger, doch in ähnlicher Weise wie im Rahmen der vorderen Kreuzbandplastik durchführbar.


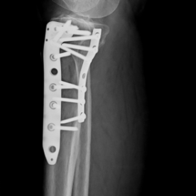
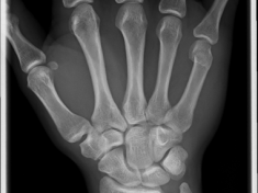
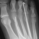
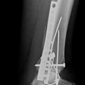
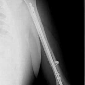
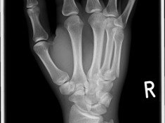
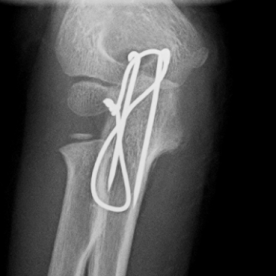
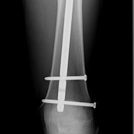
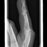
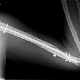
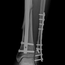
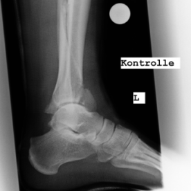
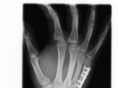
Röntgenbilder